(私にとっての)朗報です。
前回の検査の連絡がきて、「マウスピースで前歯の矯正ができそう」という話になりました。

やっぱりワイヤー矯正じゃないと……という話になる気がしていたので、これはすごく嬉しい知らせでした
ただ念のためにということで、今回は歯形を取ってきたので、そのときの話をしておきます。
下の前歯1本抜歯でマウスピース矯正はいけそう

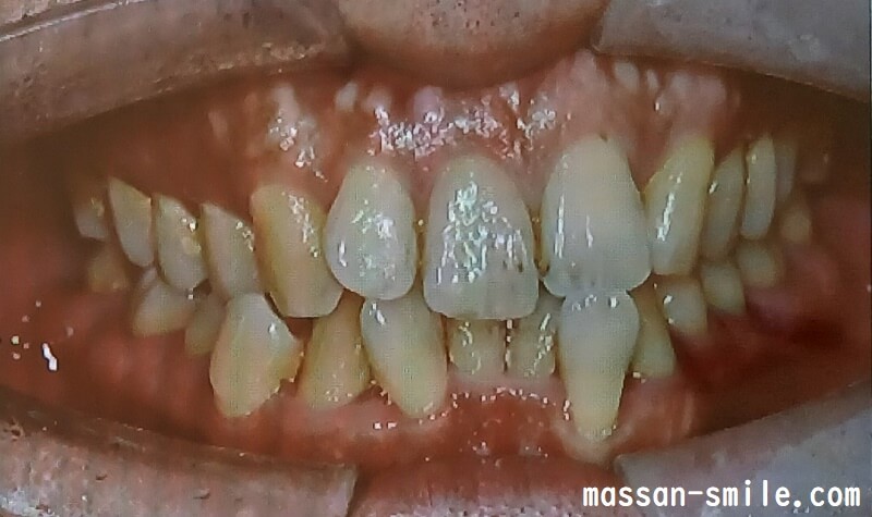
(歯列矯正前の歯並び)
歯科医をしている友人(院長先生)から連絡がありました。
「デジカメ写真・レントゲン写真・3D画像などのデータをもとに、下の前歯(画像右下)を1本抜歯して、マウスピース矯正ができるか」
を確認してくれていたのですが、おそらくいけそうという話になりました。
データ上のチェックだけでなく、知り合いの矯正の先生複数人にも確認してくれたそうです。ありがたい……!

ただ、「じゃあこれから治療を!」という話には、いきなりはなりませんでした
というのも、マウスピースをつくる会社とのやり取りがあったからです。
マウスピース矯正は、以下のようにして進んでいくそうです。
- マウスピースをつくる会社に歯のデータを送る
- その会社の矯正医とやり取りをして治療計画を立てる
- 治療計画が決まったらマウスピースをつくる
- 完成したマウスピースが送られてきて治療開始となる
しかしマウスピースの会社は、「現状の歯並びのデータ」をもとにマウスピースをつくるそう。
抜歯が必要な私の場合、まだ抜歯していない状態では、マウスピースをつくれません。
ようは、マウスピース矯正をはじめるなら、抜歯した状態で再度データを送り直す必要があるようだったんですね。
で、ここで院長先生が気にしてくれていたのが、
さきに抜歯をして、やっぱりマウスピース矯正は難しい
と、もしなった場合です。
この場合、歯を抜き損になってしまうわけで、そういう万が一のケースも考えられるということでした。

そこで院長先生から提案されたのは、「念には念を入れて歯形を取り、その歯形で再度データを取る」というものでした
- 歯型から模型を作成する
- その模型上で抜歯をする
- 模型のデータをもとにマウスピースの矯正医と相談する
こうすることで、抜歯はせずに、抜歯をしたのと変わらないデータを送れると。
そんなウルトラC的ワザで、マウスピース矯正ができるかの最終確認に進むことになったのです。
歯型を取った
そんなわけで、今回は歯型を取ることになりました。
歯型はつぎのようにして取っていきました。
- ピンク色の粘土状のものを用意する
- 歯に少し熱い溶液を塗る
- ピンク色の粘土を歯にくっつけてしばらく待つ

粘土がある程度固まったら、「カポッ」と抜いて終了です
あとは、この歯形をベースに模型をつくってもらい、そこでマウスピース矯正の最終確認を進めていってもらいます。
ちなみに、ここでOKとなったら、いよいよ抜歯です。
それから抜歯後のデータを送って、マウスピースがつくられるのですが、マウスピース到着までには1か月くらいかかるそう。
つまり、1か月くらいは歯が1本抜けてすきまがある状態になるそうでした。
まあでも私の場合、完全に下の歯が浮いているので、抜歯は全然いいかなと思っています。
いちばん気になっていたのがこの浮いた下の歯でした。人と話すときは見られたくなかったですし、上の前歯に当たるのとかもけっこうストレスでした。
なので、1か月ほど歯に隙間があっても、それはそれでよさそうかなと。逆にもう抜歯したいくらいです。
ひとまず、つぎの結果を待とうと思います。


コメント